前牙种植
成人矫正
美容冠
镶牙
烤瓷牙
冷光美白
拔牙
牙疼
龋齿
喷砂洁牙
牙龈出血
3月23-25日,2015Ormco FORUM全球论坛完美收官,我院正畸中心庞勇主任、田虎主任与全球近千名正畸专家一……[查看详情]
随着种植牙技术的不断发展,就目前而言,种植牙几乎可用于各种牙齿缺失以后的修复,例如,单颗、...[了解全部]
牙齿不去矫正注意事项有哪些?牙齿不齐,给很多人们的正常生活带来了不小的影响,不仅影响到了整...[了解全部]
电视屏幕上不管是电视剧中的男女主角、t台秀上的闪亮登场……自己的牙齿就是牙齿暗黄、牙列不齐...[了解全部]
体育现金网:德国媒体《慕尼黑日报》消息,体育现金网:谁会在今夏加盟拜仁?体育董事萨利哈米季...[了解全部]
牙龈炎不会让人痛不欲生,也不会像牙周炎那样引起牙齿脱落,因此被认为是口腔小疾,很少有人采取...[了解全部]
种植牙修复虫牙导致的牙
冷光美白的成功案例
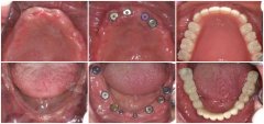
全口牙缺失修复前后
全瓷牙修复案例